Mitcham Central Dental
Biological and Holistic Dentist

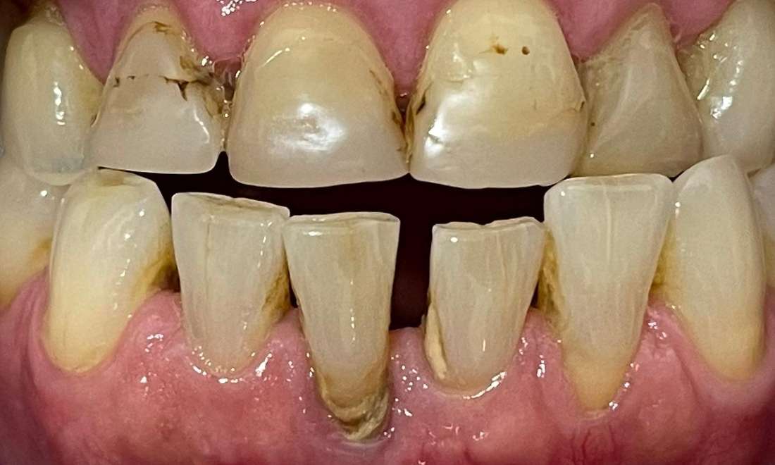
Dental Crowns On Lower Front Teeth

This patient came to us with significant wear on their lower front teeth, which impacted both their function and appearance. We placed custom-made dental crowns to match the surrounding teeth - leading to a seamless look that the patient was thrilled with. 

Related Services:

Cosmetic Dentistry
Are You Ready to Book Your Next Dental Visit?
Any surgical or invasive procedure carries risks. Before proceeding, you should seek a second opinion from an appropriately qualified health practitioner.